This is part 7 of a series. For part 6, click here.
For the past 12 months, we’ve been bombarded by news about a virus, but I’ve yet to hear or see any clear explanations about what viruses are.
Don’t you think that is more than a little strange?
If you search an “authoritative” news source like CNN, you’ll find a staggering 2.7 million references to viruses this year, and not a single one explains what a virus even is.
And you’ll definitely never hear anything about how viruses are beneficial to us.
Yes, that’s right. Beneficial.
And no, not in some creepy eugenics, “reduce the global population” way, either.
Viruses are beautiful, wonderful, and good for everyone.
But almost nobody wants you to know that.
Why?
Under Rug Swept
The first problem with viruses is that nobody ever expected them to exist, so when they popped up, they quickly had to be swept under the rug.
Sure, doctors had been using the word “virus” for centuries, but that was just shorthand for “microscopic agents that cause disease”. Sometimes, doctors used the words “bacteria” or “pathogen” instead.
When Louis Pasteur and Robert Koch mapped out the Germ Theory of Disease, infectious illnesses were supposed to be really simple. A microorganism would invade a pristine, healthy body, singlehandedly causing a disease.
You could then take a blood or tissue sample from the infected sick person and place it under a microscope and wag your finger at the offender. “You, yes, you! You are to blame for causing this illness.”
Unfortunately, what nobody realized until a century later is that some “offenders” cannot be seen under a microscope.
Neither Pasteur nor Koch nor any of their peers ever isolated, amplified, examined, or photographed a single virus. In fact, they had no idea that they even existed.
That is because, no matter how powerful or advanced it is, microscopes are incapable of seeing a virus.
Viruses are just too small.
By the beginning of the 20th century, the academic hierarchy in universities was already set in stone, and all “super small” living things were deemed to be the realm of microbiology.
This meant that viruses (real viruses, not a general name), when they were finally able to be identified, had nowhere to go. As such, viruses were lumped in with microbiology, or the study of microscopic life.
And when it turned out that viruses were neither alive nor microscopic, the whole thing became incredibly confusing.
As such, secondary academic disciplines such as tropical/infectious medicine, epidemiology, and public health were badly misled.
From there, it was only one step from a misinformed scientific consensus to authoritarian political action.
Boom, World War 3!
Let’s Meet a Virus
Instead of getting distracted by Pasteur et. al’s wild fantasies about viruses, let’s start with a clean slate.
We discussed bacteria in an earlier chapter as being two-thirds of all life on this planet, so where do viruses fit into the picture?
Viruses are far, far older than all bacteria, and that’s saying something because bacteria are at least a couple of billion years old.
As far as we know, the moment that the very first one-cell creatures appeared, viruses showed up right alongside.
Viruses are older than the dinosaurs. Viruses are older than everything.
It cannot possibly be overstressed just how important that fact is.
It means that every single life form that ever existed on Planet Earth has come of age in the company of viruses.
You, me, and everybody.
It also means that viruses were present along every centimeter of growth in the Tree of Life.
The evolution of life and viruses have co-existed since the beginning of time.
Think about that for a minute.
Submicroscopic
Viruses aren’t microscopic – they’re submicroscopic. That’s the official term for “something too small to be seen by a microscope.”
The only way to see a virus is with an electron microscopic, an extremely complex device.
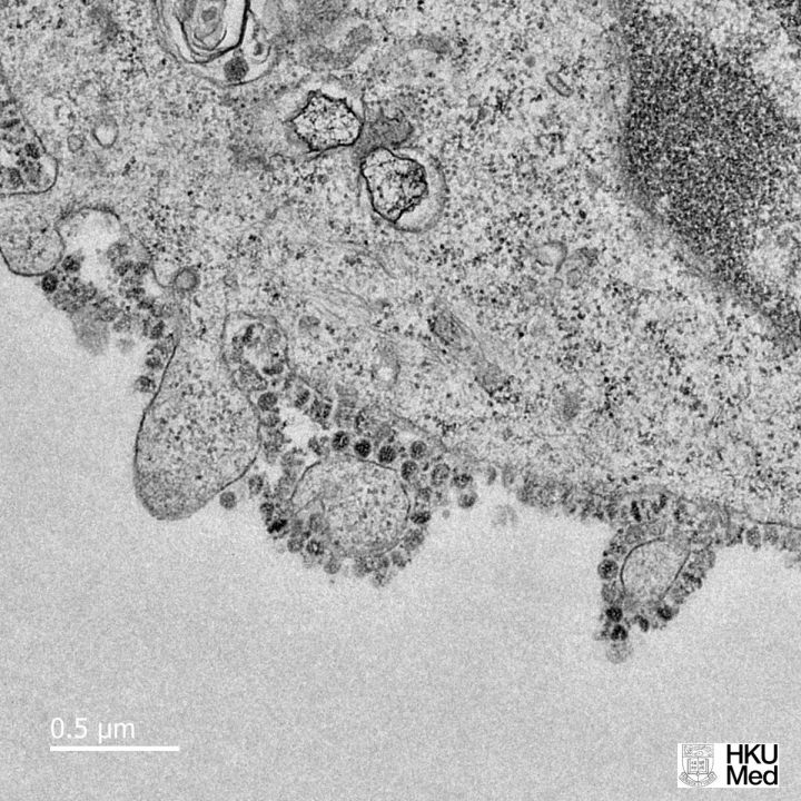
By the way, this is NOT what a virus looks like:

This is what a real virus looks like:

One of the limitations of electron microscopes is that they can only look at very thin sections of material that are completely motionless.
That’s fine for examining rock crystal, but only dead tissue samples can be put into an electron microscope, so you can’t see a virus “in action.” And even then, it is incredibly difficult to identify a virus.
In addition, their tiny size also means that viruses exist on a different physical plane than (true) microscopic organisms like bacteria and fungi.
Yet viruses are always lumped in with microbiology. This means that a lot of assumptions get made about the physical property of viruses, such as how they propagate through the air.
Not Biology
Furthermore, viruses are not part of biology for the simple fact that viruses are not alive.
Viruses are not “creatures.” They are not “organisms.” They are not “tiny lifeforms” or anything else.
Viruses do not eat.
Viruses do not move.
Viruses do not consume, transfer, store, produce, or use energy.
Viruses do not replicate or “have babies” or “make copies of themselves” or anything else along that line.
Viruses definitely do not “attack” or “invade.”
Viruses are not crafty, “devious,” “evil,” or “insidious.”
And viruses definitely do not kill.
A virus is simply a strand of RNA wrapped in a protein shell. Its components are organic, but viruses are not alive.
You’ve got mail!
Once you realize that viruses are both not alive and have been around since the beginning of life, you’ve got to wonder what their purpose is.
Darwin’s theory of evolution only covers things that are alive. It certainly doesn’t apply to rocks! So where do viruses fit into the theory of evolution?
After all, viruses aren’t competing for resources. They aren’t fighting over territory. They don’t eat anything, and nothing eats them.
Viruses cannot and do not “evolve” any more than rocks do.
But yet viruses are in and around all living organisms, and rocks are not.
Besides applying a lot of misguided theories about bacteria onto viruses, the only thing we can be sure about viruses is that they get passed around a lot.
That’s the passive tense, on purpose.
Again, viruses don’t move, and they don’t travel or “go” anywhere. They get moved. They get sent.
And both the sender and recipient are living organisms.
For all intents and purposes, viruses are organic emails that pass back and forth between humans, animals, insects, fish, bacteria, fungi, and plants.
And I am definitely sure that no one has ever told you that!
What’s the Frequency, Kenneth?
If viruses are emails, then what messages do they contain?
Most of the time, it’s RNA, but sometimes, it’s a full DNA message. We didn’t even learn of the existence of DNA until the 1950s, and it took several decades more to read the RNA/DNA of viruses.
It’s only recently that we’ve figured out that viruses are gene messages wrapped in a “header tag” protein shell to ensure that they get delivered to the correct recipient. Therefore, at long last, we can finally say that we know what viruses are.
But why would living organisms be sending “emails” like that back and forth to one another?
To understand that, we’ve got to briefly discuss Darwin’s fatal mistake when he was researching evolution.
Darwin’s observations were highly accurate, and the broad strokes of his theory were completely correct. Adults really do pass down favorable traits (i.e. DNA) to their offspring.
And the competition to pass along favorable DNA (genes) is the motor that drives evolution.
Or one of the motors, that is.
You see, in addition to “vertical” evolution, in which genes get passed from parent to child, there’s also something called “horizontal” evolution.
Usually referred to by its initials HGT (horizontal gene transfer), this is when one organism passes along favorable DNA information “horizontally” to a brother lifeform.
Furthermore, HGT happens not just laterally between members of the same species but also between different species.
“Good” (helpful for survival) DNA isn’t just being passed along from parent to child but between each and every one of us, right now, on a real-time basis.
And can you guess who excels at “horizontally” delivering DNA between living organisms?
That’s right.
Viruses.
Evolution is happening along two axes, not one. The primary mechanism of gene transfer (i.e. evolution) is vertical between parents and offspring, but lateral or horizontal gene transfer also plays a key role.
That means that viruses are an essential part of evolution.
If viruses are so awesome, why do they kill people?
That’s a good question, and one we’ll answer in more detail in a subsequent chapter.
But the short answer is: they don’t.
In the meantime, I highly suggest you read this book (no affiliate link) to learn a lot more about how magical and wonderful viruses really are.
You can read the next part here.


2 thoughts on “The Secret Magic of Viruses”